A 39 year old female presented with lower back pain and leg pain since 3 months.

A 39 year old female presented with lower back pain and leg pain since 3 months.

A 39 year old female presented with lower back pain and leg pain since 3 months.

MRI spine was advised.

FINDINGS :-

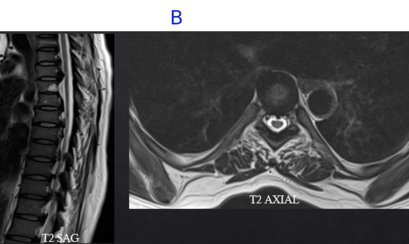
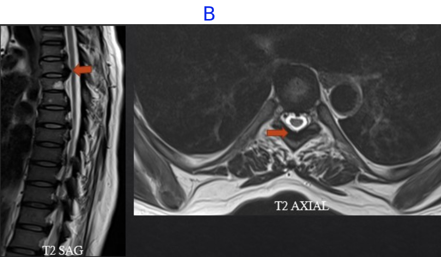
  • A . FINDINGS MRI 
  • B. MR SPINE 
  • C. MR SPINE

A) LEGENDS

  • Vertebral Body and endplate of various vertebrae appear diffusely hypointense on T1 and T2 sequences .
  • Compression and narrowing of the cervical canal with spinal cord hyperintensity at the level of C3 and C4 vertebrae– suggestive of myelo-malacia.

B) LEGENDS

  • Multi-focal areas of posterior longitudinal ligament and ligamentum flavum hypertrophy at multiple vertebrae level indenting on the anterior and posterior thecal sac

C) LEGENDS

  • Diffusely increased density of the bones.
  • Calcification of the right sacrospinous ligament.

Spinal Fluorosis:

  • Skeletal fluorosis is a chronic metabolic bone disease caused by the ingestion of large amounts of fluoride.

Clinical History:

  • Middle-aged male from endemic region
  • Chronic back pain, progressive stiffness
  • No history of trauma or tuberculosis

Examination:

  • Restricted spinal mobility
  • No neurological deficit

X-ray/CT/MRI Features:

  • Increased bone density: Osteosclerosis
  • Compact bone thickening
  • Ossification of the attachments of tendons, ligaments, and muscles
  • Interosseous membrane calcification.
  • Ossification of the posterior longitudinal ligament.
  • MRI: Ligamentous ossification, potential cord compression
     

1. Srivastava RN, et al. Skeletal fluorosis: Radiological spectrum. Indian J Radiol Imaging.

2. Reddy DR. Neurological complications of fluorosis. J Neurol Neurosurg Psychiatry.

3. Radiopaedia.org – Spinal fluorosis case articles

 
 

Dr Harsha Chadaga 
Consultant Radiologist
Manipal Hospital , Yeshwantpur 

Dr Nilay Gupta
Cross- sectional fellow 
Manipal hospital , Yeshwantpur