A 37-year-old male presented with dyspnea on minimal exertion and recurrent cough since 2 weeks

A 37-year-old male presented with dyspnea on minimal exertion and recurrent cough since 2 weeks

Clinical Features

  • A 37-year-old male presented with dyspnea on minimal exertion and recurrent cough since 2 weeks

DIAGNOSIS

  • Silicosis with progressive massive fibrosis

DISCUSSION

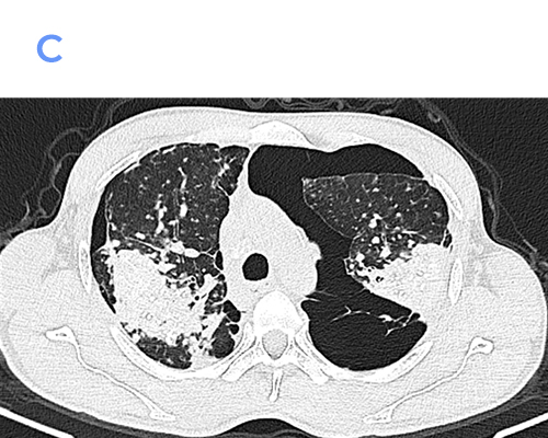
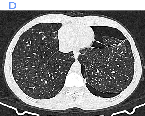
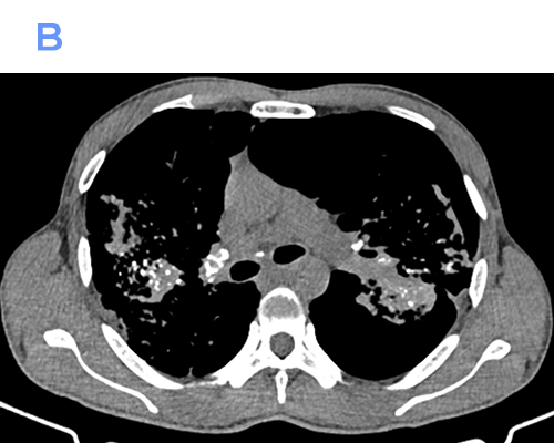
SILICOSIS WITH PROGRESSIVE MASSIVE FIBROSIS:

  • Silicosis is a chronic occupational pneumoconiosis caused by prolonged inhalation of crystalline silica dust, commonly affecting workers in mining, quarrying, sandblasting, and stone cutting industries.
  • Silicosis is a chronic occupational pneumoconiosis caused by prolonged inhalation of crystalline silica dust, commonly affecting workers in mining, quarrying, sandblasting, and stone cutting industries.
  • Progressive massive fibrosis (PMF) represents the most severe and advanced form of silicosis and results from the coalescence of smaller silicotic nodules into large fibrotic masses.
  • PMF is characterized by upper lobe predominant conglomerate masses associated with architectural distortion, volume loss, and compensatory emphysematous changes.
  • The condition is progressive even after cessation of exposure, reflecting ongoing inflammatory and fibrotic responses to retained silica particles.

Imaging Features:

Chest Radiograph

  • Multiple small, rounded opacities (2–5 mm) predominantly in the upper lung zones, consistent with simple silicosis.
  • Coalescence of nodules forming large, bilateral, irregular opacities (>10 mm), typically in the posterior segments of the upper lobes.
  • Progressive massive fibrosis appears as large conglomerate masses with:
    • Upward and medial retraction of the hila
    • Upper lobe volume loss
  • Peripheral compensatory emphysema, often para-cicatricial.
  • Eggshell calcification of hilar and mediastinal lymph nodes (highly suggestive but not pathognomonic).

Computed Tomography (CT)

  • Numerous well-defined centrilobular and perilymphatic nodules in the upper lobes.
  • Conglomerate fibrotic masses with irregular margins and variable internal calcification.
  • Traction bronchiectasis and bronchiolectasis adjacent to fibrotic areas.
  • Marked architectural distortion with posterior and superior displacement of fissures.
  • Enlarged hilar and mediastinal lymph nodes, frequently showing peripheral (“eggshell”) calcification.
  • Areas of emphysema, especially adjacent to fibrotic masses.

CT is superior in detecting early PMF, subtle nodal calcifications, and complications such as superimposed infection or lung cancer.

Differential Diagnosis :

Coal Workers’ Pneumoconiosis (PMF)

  • Similar imaging appearance; differentiation relies on occupational history.
  • Coal workers’ PMF tends to show more central distribution and less nodal calcification.

Pulmonary Tuberculosis

  • May coexist with silicosis.
  • Cavitation, tree-in-bud nodules, and systemic symptoms favor tuberculosis.

Sarcoidosis

  • Upper-lobe fibrosis with conglomerate masses.
  • More symmetrical lymphadenopathy; nodules along bronchovascular bundles.

Lung Carcinoma

  • Solitary or dominant mass with spiculated margins.
  • PMF masses are usually bilateral, symmetric, and slowly progressive.

Chronic Hypersensitivity Pneumonitis

  • Upper-lobe fibrosis but associated with ground-glass opacities and mosaic attenuation.

References

  1. Leung CC, Yu IT, Chen W. Silicosis. Lancet. 2012;379(9830):2008–18.
  2. Hansell DM, Bankier AA, MacMahon H, McLoud TC, Müller NL, Remy J. Fleischner Society: glossary of terms for thoracic imaging. Radiology. 2008;246(3):697–722.
  3. Chong S, Lee KS, Chung MJ, Han J, Kwon OJ, Kim TS. Pneumoconiosis: comparison of imaging and pathologic findings. Radiographics. 2006;26(1):59–77.
  4. Webb WR, Müller NL, Naidich DP. High-Resolution CT of the Lung. 5th ed. Philadelphia: Lippincott Williams & Wilkins; 2014.
  5. Craighead JE, Abraham JL, Churg A, et al. Diseases associated with exposure to silica and nonfibrous silicate minerals. Arch Pathol Lab Med. 1988;112(7):673–720.

Dr Deepti H V
DMRD, DNB, EDiR
Senior Consultant Manipal Hospitals Radiology Group Yeshwantpur

Dr S Shreya
MBBS, MD
Cross section imaging fellow - MHRG