A 23 year old male presented with cough and dyspnoea since 3 months.

A 23 year old male presented with cough and dyspnoea since 3 months.

  • A 23 year old male presented with cough and dyspnoea since 3 months.
  • HRCT thorax was performed.

FINDINGS

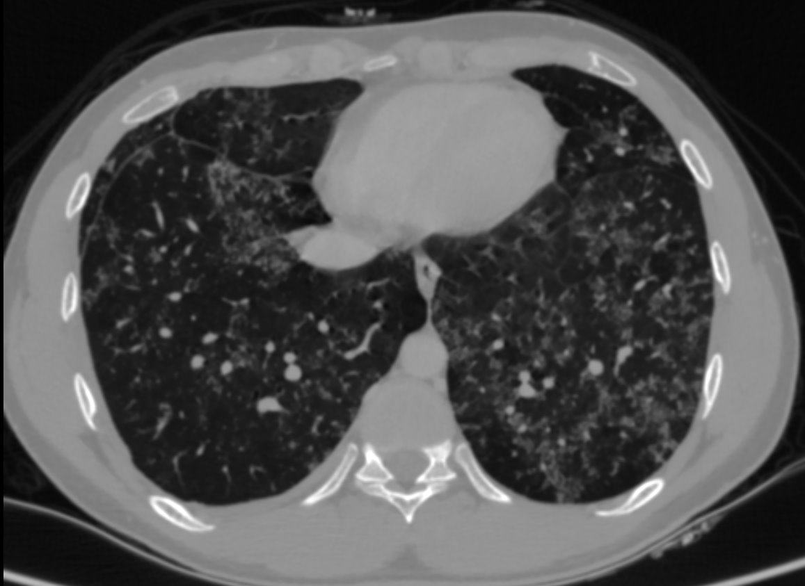
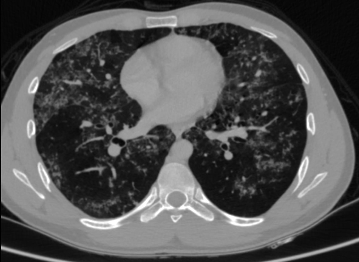
  • Numerous patchy nodular parenchymal infiltrates distributed diffusely in all the lung lobes, with a peribronchovascular and subpleural distribution.
  • Apical emphysematous changes.
  • No significant mediastinal lymphadenopathy seen. No effusion 
  • Alveolar sarcoidosis

Alveolar sarcoidosis is an atypical pulmonary manifestation of sarcoidosis.

This appearance is thought to result from the aggregation of a vast number of interstitial granulomas rather than representing a true alveolar process.

Imaging Findings:

CT Features:

1.Appearance of alveolar sarcoidosis opacities:

  • Patchy lung opacities 1–4 cm, rounded or elongated
  • Irregular, blurred margins, may show air bronchograms
  • Located along bronchovascular bundles or subpleural

2. Characteristic signs

  • Galaxy sign: opacity with many surrounding small nodules (granulomas)
  • Fairy ring / Reverse halo: circular arrangement of opacities with central clearing

3. Associated CT findings

  • Nodules, ground-glass opacities,
  • Thickened bronchovascular bundles,
  • Thickened interlobular septa

References

  1. Criado E, Sánchez M, Ramírez J, et al.
    Pulmonary sarcoidosis: typical and atypical manifestations at high-resolution CT.
    Radiographics. 2010;30(6):1567–1586.
    (Classic paper describing galaxy sign, alveolar opacities, perilymphatic nodules)

  2. Hansell DM, Bankier AA, MacMahon H, et al.
    Fleischner Society: glossary of terms for thoracic imaging.
    Radiology. 2008;246(3):697–722.
    (Defines reverse halo sign, ground-glass, opacities)

  3. Judson MA.
    The diagnosis of sarcoidosis.
    Clin Chest Med. 2008;29(3):415–427.
    (General imaging findings in pulmonary sarcoidosis)

     

     

Dr Deepti HV
Senior Consultant Radiologist
Manipal Hospital, Yeshwantpur

Dr Nilay Gupta
Cross- sectional fellow
Manipal hospital , Yeshwantpur