39 year old female patient presented with shortness of breath with history of persistent cough since 3 weeks and intermittent fever.  No weight loss.

39 year old female patient presented with shortness of breath with history of persistent cough since 3 weeks and intermittent fever. No weight loss.

  • 39 year old female patient presented with shortness of breath with history of persistent cough since 3 weeks and intermittent fever. No weight loss.
  • On clinical examination,  SPO2: 88% with reduced air entry in the right hemithorax.
  • Xray and CT thorax were performed.

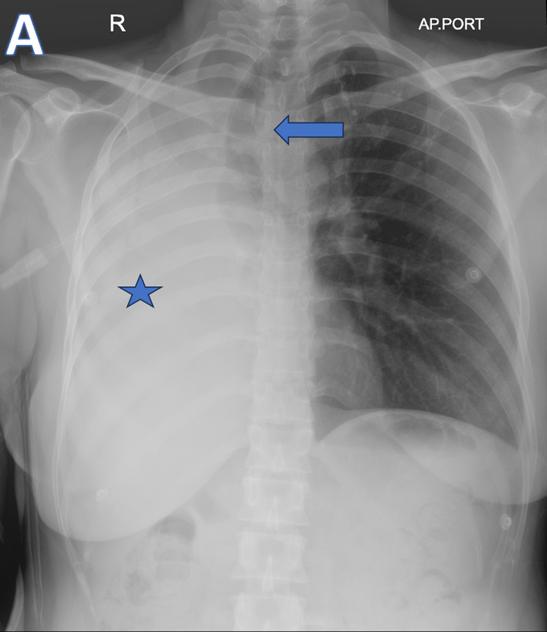
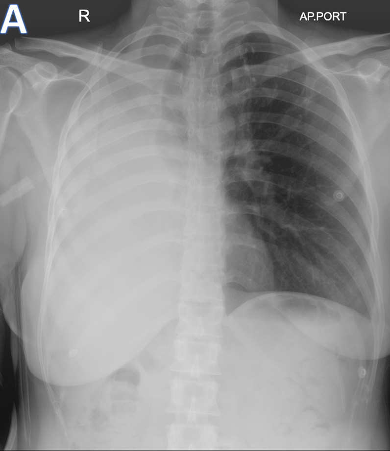
A - AP-Chest XRAY

  • ARROW: Tracheal deviation to the Right.
  • STAR: Opacified right hemithorax.
  • Findings are consistent with Collapse of the right lung.

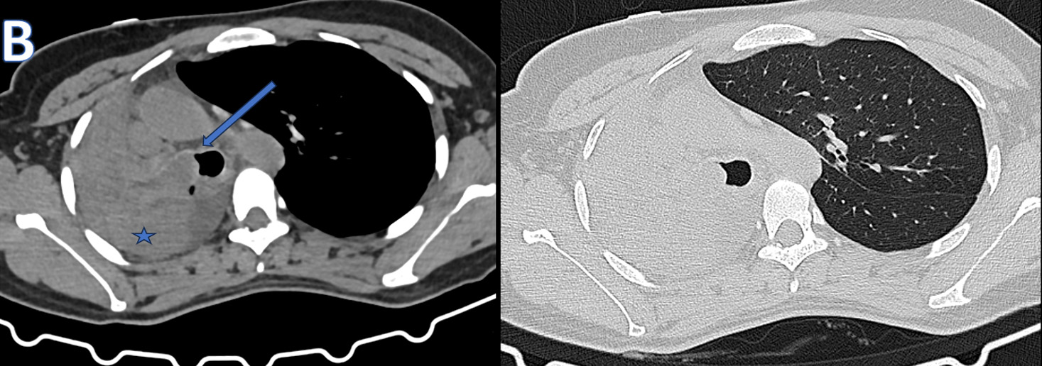
B – Axial CT thorax (soft tissue and lung window images)

  • ARROW: Soft tissue density endobronchial mass lesion in the right main bronchus.
  • STAR: Collapsed right lung and hypodense  fluid in the right hemithorax.

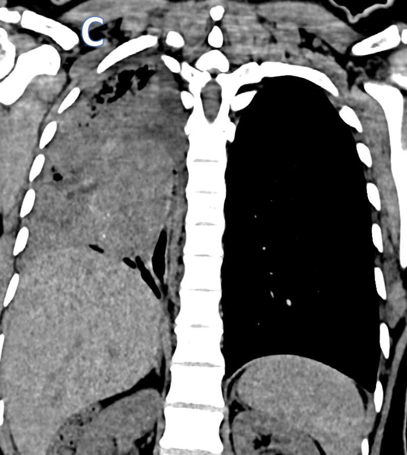
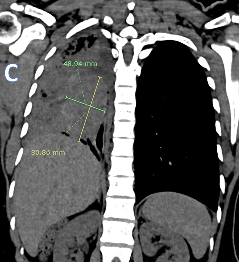
C – CORONAL CT THORAX

Ovoid heterogeneously isodense mass lesion with multiple tiny peripheral specks of calcifications in the right hemithorax with endobronchial extension.

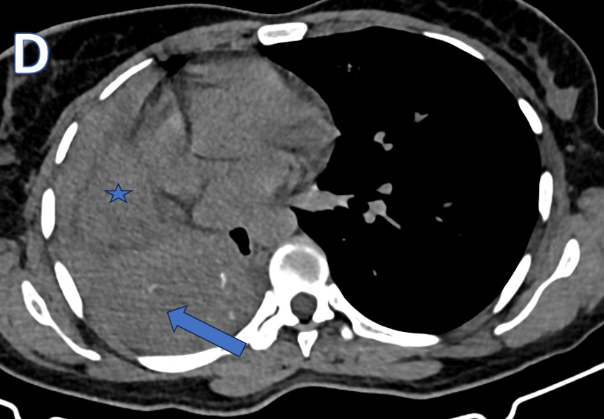
D – Axial CT Thorax

  • ARROW:  Isodense mass lesion with peripheral calcific specks and endobronchial extension.
  • STAR: Organised / Clotted - Hemorrhagic contents in the right hemithorax.

FINDINGS AND IMPRESSION

  • Ill-defined soft tissue density mass with few peripheral calcific specks in the right hemithorax extending into the right main bronchus with resultant bronchus cut off.
  • Associated near complete collapse of the right lung with ipsilateral tracheo mediastinal shift.
  • Irregular soft tissue density foci scattered within the right thoracic cavity with mild to moderate fluid – suggestive of haemothorax with organized haemorrhagic products.
  • Mediastinal lymphadenopathy.

IMPRESSION: Centrally obstructing right hemithroacic endobronchial mass – likely neoplastic in etiology.

  • DDX:
    • Endobronchial malignancy  like Bronchial carcinoid and Primary lung carcinoma—rare but possible at this age.
    • Less likely: Inflammatory endobronchial lesion or Endobronchial metastasis

Diagnosis

  • Bronchoscopy –Right main bronchus completely occluded by mass.
  • Biopsy – HPE: ATYPICAL CARCINOIDE TUMOR.

DISCUSSION - Endobronchial Carcinoid Tumor

  • Neuroendocrine tumors arising from Kulchitsky cells of the bronchial mucosa
  • Represent the most common primary endobronchial neoplasm in young adults
  • Typically slow-growing but may cause significant airway obstruction

Histopathology

  • Composed of uniform neuroendocrine cells arranged in nests, trabeculae, or rosettes.
  • Classified as:
    • Typical carcinoid: <2 mitoses/2 mm², no necrosis
    • Atypical carcinoid: 2–10 mitoses/2 mm² and/or necrosis

Incidence and Epidemiology

  • Account for 1–2% of all primary lung tumors.
  • Incidence: ~0.2–2 cases per 100,000 population/year. Younger age group compared to other lung malignancies - Peak incidence: 30–50 years
  • Slight female predominance. No strong association with smoking, especially for typical carcinoids.

Clinical Presentation

  • Symptoms largely due to bronchial obstruction
  • Dyspnea
  • Recurrent pneumonia
  • Hemoptysis (common due to tumor vascularity)
  • Carcinoid syndrome is rare (<5%) in pulmonary carcinoids
  • Delayed diagnosis common due to nonspecific symptoms

Radiological Findings

CHEST RADIOGRAPH

  • Lobar or whole lung collapse
  • Recurrent or non-resolving consolidation
  • Opacified hemithorax with ipsilateral mediastinal shift in severe obstruction.

CT THORAX

  • Well-defined central endobronchial mass
  • Typically isodense to muscle
  • Intense enhancement post-contrast (hypervascular)
  • Secondary findings:
    • Atelectasis
    • Post-obstructive pneumonia
    • Mucoid impaction
    • Pleural effusion or hemorrhage (occasionally)

Other Diagnostic Imaging

  • Contrast-enhanced CT: modality of choice for initial evaluation
  • Somatostatin receptor imaging:
    • ^68Ga-DOTATATE PET/CT shows high sensitivity
  • Bronchoscopy:
    • Direct visualization: smooth, cherry-red, highly vascular mass
    • Biopsy with caution due to bleeding risk

Prognosis and Management

  • Surgical resection is the treatment of choice
  • Excellent prognosis:
    • 5-year survival:
      • Typical carcinoid: >90%
      • Atypical carcinoid: 60–75%
  • Early radiologic diagnosis prevents irreversible lung damage

Imaging Diagnostic Pearls

  • Central enhancing endobronchial mass in a young, non-smoker → think carcinoid
  • Persistent lobar collapse or recurrent pneumonia in the same distribution is a red flag
  • Marked enhancement helps distinguish carcinoid from mucus plug or foreign body
  • Lack of nodal disease favors typical carcinoid
  • Always evaluate for endobronchial extension on CT lung windows

References

  1. Travis WD, Brambilla E, Nicholson AG, et al. The 2015 World Health Organization classification of lung tumors. J Thorac Oncol. 2015;10(9):1243–1260.
  2. Caplin ME, Baudin E, Ferolla P, et al. Pulmonary neuroendocrine (carcinoid) tumors: ESMO Clinical Practice Guidelines. Ann Oncol. 2015;26 Suppl 5:v102–v108.
  3. Erasmus JJ, McAdams HP, Patz EF Jr, Goodman PC. Bronchial carcinoid tumors: radiologic findings in 22 patients. Radiology. 1998;206(2):497–502.
  4. Chong S, Lee KS, Chung MJ, et al. Neuroendocrine tumors of the lung: clinical, pathologic, and imaging findings. Radiographics. 2006;26(1):41–57.
  5. Kayser K, Zink S, André S, et al. Typical and atypical carcinoid tumors of the lung: differentiation by morphometry and immunohistochemistry. Pathol Res Pract. 2001;197(10):697–703.

DR. K VISHNU VARDHAN REDDY
MBBS, MD, Fellowship In Cross Section Imaging (MHRG).