45 year old female presents with complaints of headache, giddiness and occasional vertigo for which MRI Brain was advised.

45 year old female presents with complaints of headache, giddiness and occasional vertigo for which MRI Brain was advised.

A. FINDINGS - MR BRAIN
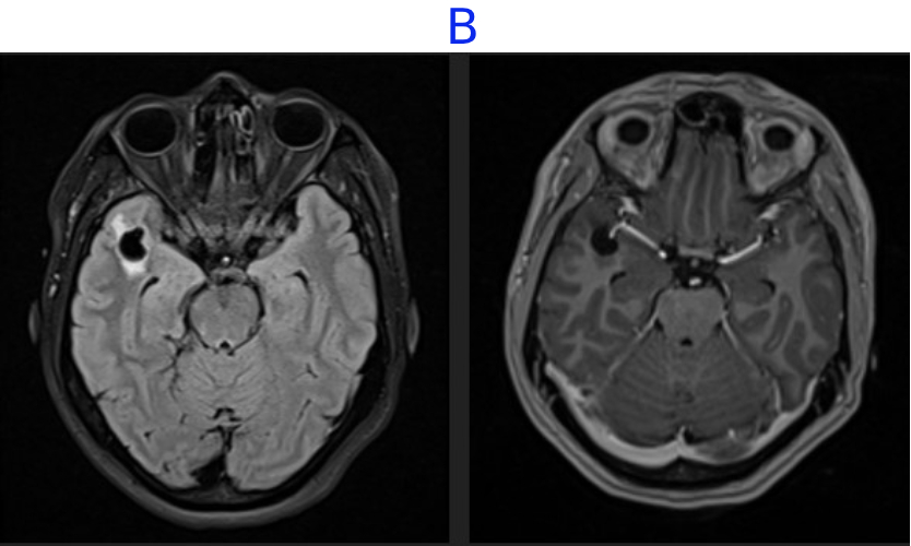
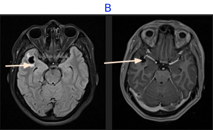
B. FINDINGS - MR BRAIN
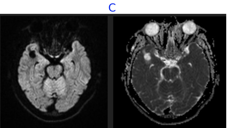
C. FINDINGS - MR BRAIN

LEGENDS :-

  • A. A well-defined, intra-axial, T2 hyperintense, T1 hypointense lesion measuring 14 x 12 x 9mm noted in the subcortical white matter of the peri-Sylvian right anterior temporal lobe
  • B. FLAIR sequence demonstrates mild perilesional edema in the right anterior temporal lobe.Post contrast T1 demonstrates no enhancement and M2 segment of right MCA indenting the antero-superior pole of the lesion
  • C. No diffusion restriction in DWI

DIAGNOSIS :-

Giant VR space in the right anterior temporal lobe.

DISCUSSION :-

Definition:

  • A special variant of tumefactive perivascular spaces (also known as opercular PVS)
  • Notable for imaging mimicry of cystic tumors due to cystic appearance and perilesional changes

Epidemiology:

  • Predilection reported in women
  • Affected age range: 24–86 years
  • Clinical Presentation:
  • Usually asymptomatic with no direct clinical manifestations

Pathology & Location:

  • Etiology uncertain; possible mechanisms:
  • Occlusion of tiny CSF?communicating channels by a vascular loop
  • Abnormal CSF dynamics

Locations:

  • Anterior temporal lobe (temporal pole)
  • Frontal operculum (opercular perivascular spaces)
  • Radiographic Features – MRI

Typical MRI characteristics:

  • Internal signal identical to CSF on all sequences
  • No enhancement after contrast
  • Size remains stable over time, even if surrounding signal changes

Specific imaging findings:

  • Surrounding perilesional edema (~80% of cases), which may be mild to extensive
  • Usually in contact with a branch of the middle cerebral artery (~90%)
  • Associated focal cortical thinning

REFERENCES

https://radiopaedia.org/articles/anterior-temporal-lobe-perivascular-spaces
https://pmc.ncbi.nlm.nih.gov/articles/PMC4683889/

https://journals.sagepub.com/doi/full/10.1177/2514183X20905252

https://pubs.rsna.org/doi/abs/10.1148/rg.274065722

DR. RAHUL KARTHIK

LINGUTLA CONSULTANT RADIOLOGIST,MANIPAL HOSPITAL,
YESHWANTHPUR

DR. FATHIMATH ASHILI

KM RADIOLOGY RESIDENT,MANIPAL HOSPITAL,
YESHWANTHPUR